香香腐宅 - 香香腐宅全彩无删减耽美漫

/ 主页 /口腔保健/健康科普

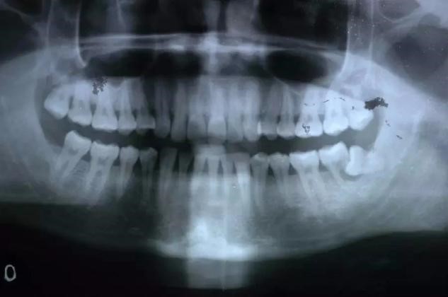
阻生智齿不拔的后果

发布时间:2021-12-31    来源:

    阻生齿是第三磨牙(即智齿)部分萌出或完全不能萌出,且以后也不会自行萌出的牙。这种萌出异常是由邻牙、骨或软组织的阻碍而引起的。很多人到了一定的年龄都会长出阻生齿,但是却不愿意拔出。有些阻生齿不会带来很大的影响,可以不拔出,但是有些不拔就会影响到其他的牙齿,造成一定的危害。那么,阻生齿不拔有什么危害呢?

 

 

1、冠周炎:智齿冠由于嵌塞不能完全暴露,食物和细菌很容易积聚在牙冠周围的牙龈粘膜下层(盲袋)中,引发冠周炎。冠周炎通常无症状,当感冒或疲倦时,由于全身抵抗力下降,会变成急性冠周炎,出现面颊肿胀、张口困难、吞咽疼痛、全身发热等症状。如果仍然不拔牙,并允许反复攻击,可能会形成皮下脓肿或口腔部分的瘘管,进而影响面部。

2、磨牙龋齿:对于向前倾斜的阻生智齿,食物通常积聚在相邻牙齿之间,这容易导致相邻牙齿(下第二磨牙)的龋齿。这种龋齿不容易被发现,一旦出现疼痛(急性牙髓炎),牙冠通常会严重受损。出现龋齿、牙髓炎,甚至牙齿不能保留。第二磨牙缺失对咀嚼功能有很大影响,也很难用义齿修复。

3、骨髓炎。冠周炎或龋齿很容易导致根周炎,感染比较严重时,炎症还可能会向牙髓腔周围扩散,从而引发牙髓炎,除了出现剧烈疼痛等明显症状外,还可能导致出现牙齿松动。
4、间隙感染。若出现冠周炎,并且没有得到及时的治疗,会导致炎症向颌骨周围肌肉间隙扩散,造成间隙感染。常见的间隙感染部位有舌下、口底以及颌下等。发生间隙感染时,面部会出现肿胀疼痛。

5、影响身心健康。因为阻生齿和正常的牙齿之间不能形成咬合的关系,长期就会出现张口疼痛、磨牙等情况,对身心健康的影响也是比较大的。

 

 

 

    另外,女生怀孕时身体抵抗力低,智齿容易发炎,在此期间不建议使用药物和随便拔牙。因此,女性在准备怀孕前,建议做一个全面的口腔检查,查看口腔中是否有坏牙和智齿,如果有需要拔掉。

    阻生齿应尽快拔除,不要再犹豫了!

(口腔综合科 孙慧)